Shqip
Zbritje e Madhe – Ditet e Fundit për 20% Zbritje!
43ORA 38MINUTË 19SEKONDË

A Milim
Bën një Dallim të Madh

Spitali Dentar Milim është i pari qendër dentare që merr "Certifikatën e Autorizimit të Turizmit Shëndetësor" të lëshuar nga Ministria e Shëndetësisë së Republikës së Turqisë.
Çfarë Ndihmon me Dhimbjen e Dhembit të Infektuar?
east

Shëndeti oral dhe dentar është një nga fushat më të rëndësishme që kërkon kujdes të vazhdueshëm. Edhe një problem i vogël mund të kthehet shpejt në një gjendje serioze. Për këtë arsye, çështjet që lidhen me shëndetin oral dhe dentar nuk duhet kurrë të injorohen, dhe duhet të mbahen kontrolle rutinore dhe praktika të përditshme të higjienës.

Çfarë Është Trajtimi i Kanalit të Rrënjës dhe Si Bëhet?
east

Shëndeti oral dhe dentar luan një rol kritik në jetën e përditshme. Duke qenë se dhëmbët janë thelbësorë për ushqyerjen e duhur, çdo dëmtim mund të shkaktojë parehati dhe të ndikojë negativisht në mirëqenien e përgjithshme. Dhimbjet e dhëmbëve mund të tregojnë probleme të ndryshme dentare; prandaj, konsultimi me dentistin në shenjën e parë të dhimbjes është i rëndësishëm.

Çfarë Është Zbardhja e Dhëmbëve dhe Pse Është e Nevojshme?
east

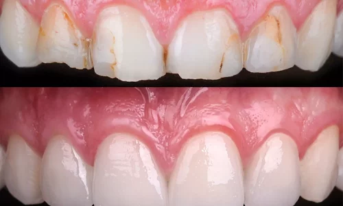
Shëndeti i dhëmbëve tanë është jashtëzakonisht i rëndësishëm. Edhe një dhimbje apo ndjeshmëri e vogël mund të ndikojë në gjithë ditën tonë. Megjithatë, pamja e dhëmbëve tanë është po aq e rëndësishme sa shëndeti i tyre. Edhe nëse nuk ka dhimbje, ruajtja e higjienës orale ditore është thelbësore. Buzëqeshja jonë është firma jonë vizuale, dhe pamja e dhëmbëve ndikon direkt në imazhin tonë të përgjithshëm kur flasim apo buzëqeshim.

Pse Duhet të Kujdeseni për Shëndetin Tuaj Oral dhe të Dhembëve?
east

Shëndeti oral dhe i dhëmbëve është një nga përbërësit më të rëndësishëm të mirëqenies së përgjithshme. Çdo problem i vogël në gojë mund të rritet shpejt dhe të shkaktojë probleme të ndryshme sistemike shëndetësore. Me pastrim të vetëdijshëm, të rregullt dhe kujdes adekuat oral, mund të mbani lehtësisht të mbrojtur dhëmbët dhe mishrat.

A Ju Nevojitet Vërtetë të Hiqni Dërrasën e Urtësisë?
east

Pamundësia e dëmës së urtësisë për të dalë plotësisht, prirja e saj për të prishur, dhe parehatia që shkakton—shpesh mjaft e fortë për të ndërprerë gjumin—i bën ata një nga dhëmbët më problematik për shumë individë. Meqë dhëmbët e urtësisë përbëjnë më shumë sfida strukturore se të tjerët, ata duhet të vlerësohen me kujdes shtesë.

Mitete të zakonshme dhe keqkuptime rreth dhimbjes së dhëmbit
east

Dhimbja e dhëmbit është një problem i zakonshëm i shëndetit oral që mund të ndodhë në çdo moshë. Ka shumë shkaqe pas dhimbjes së dhëmbit dhe për këtë arsye, mund të nevojiten qasje të ndryshme trajtimi. Për të lehtësuar shpejt dhimbjen e dhëmbit dhe për të rikthyer shëndetin oral, është thelbësore të ekzaminoheni nga një dentist i kualifikuar.

1 2 3 4 5

Spitali Dental Milim ofron shërbime të plota dentare në një ambient të hapur prej 1,000 m², i mbështetur nga një ekip i gjerë profesionistësh dentarë përfshirë specialistë në Operacionin Oral dhe Maxillofacial, Prostodonti, Ortodonti, Stomatologji Pediatrike dhe Periodonti.

Klinička jonë është autorizuar nga Ministria turke e Shëndetësisë për Turizmin Ndërkombëtar Shëndetësor. Ky uebfaqe është vetëm për informimin e pacientëve nga jashtë. Nuk përmban reklama dhe përputhet me rregulloret ligjore të privatësisë.
Milim Dental Hospital © 2025 - Të gjitha të drejtat janë të rezervuara.

A keni një pyetje në mendje?

Në spitale dentare Milim pranojmë maksimumi 10 pacientë ndërkombëtarë në muaj. Kjo na lejon të ofrojmë kujdes të personalizuar dhe cilësinë më të lartë të trajtimit për çdo pacient. Na tregoni si mund t'ju ndihmojmë! A dëshironi të shihni rezultatet e pacientëve të vërtetë? Mos hezitoni të eksploroni Galerinë tonë të Çështjeve!

Ndrysho Gjuhën e Sitit

Shqip
Zbritje e Madhe – Ditet e Fundit për 20% Zbritje!