日本語
ビッグセール – 最後の
20%オフ!

52時間 21分 53秒

あなたの未来の笑顔
ここにあるかもしれません

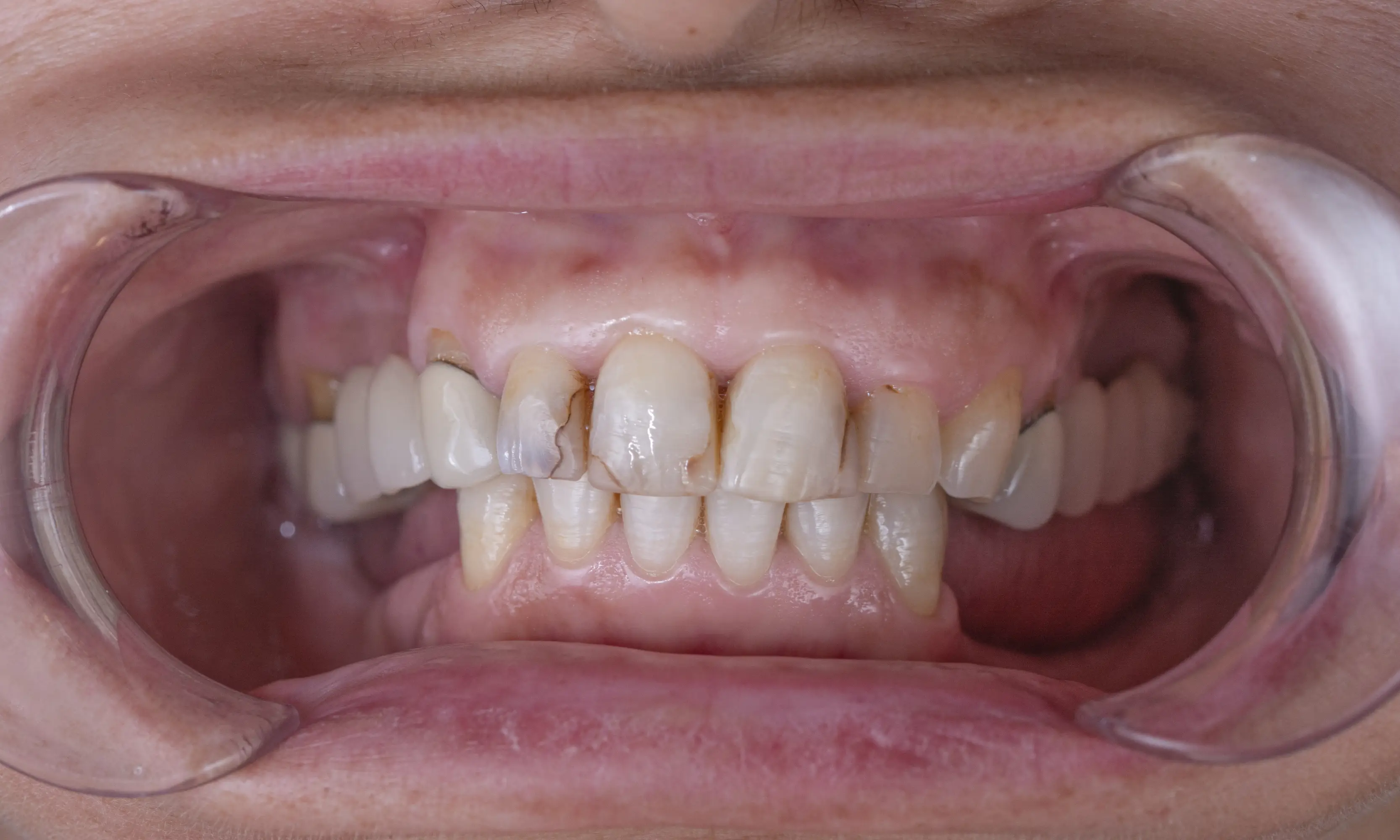
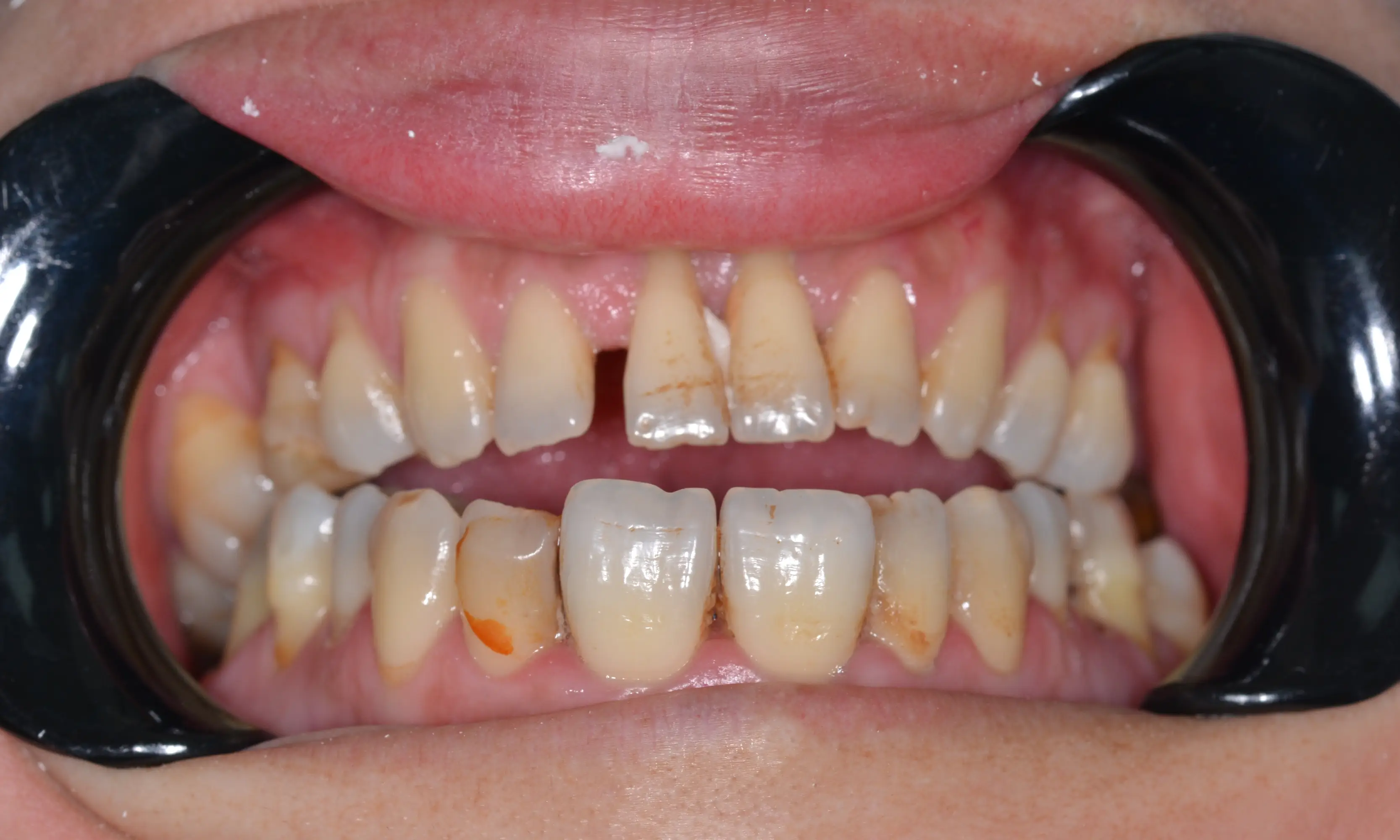
ケース 238 デンタルツーリズム
前 後
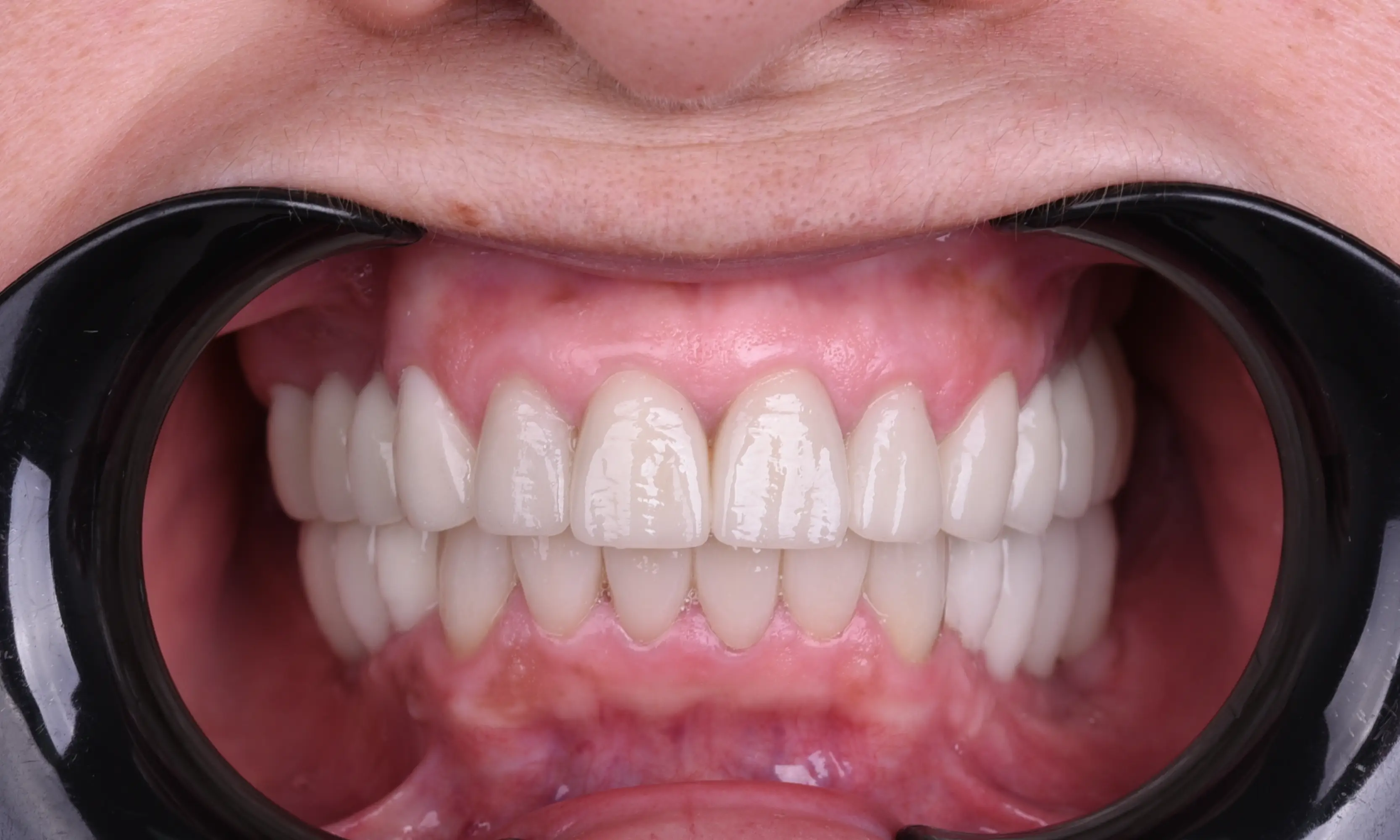
ケース 30 フルベニヤー
前 後
ケース 20 インプラント
前 後
ケース 230 デンタルツーリズム
前 後
ケース 21 フルジルコニウム
前 後
ケース 179 フルベニヤー
前 後
ケース 264 ベニア
前 後
ケース 128 ベニア
前 後
ケース 232 ベニア
前 後
ケース 225 ベニア
前 後
ケース 239 ハリウッドスマイル
前 後
ケース 147 フルジルコニウム
前 後

ミリム歯科病院は、口腔および顎顔面外科、補綴、矯正、小児歯科、歯周病学の専門家を含む広範な歯科専門家チームによって支えられた、広々とした1,000 m²の施設で包括的な歯科サービスを提供しています。

当院はトルコ健康省によって国際医療観光のために認可されています。このウェブサイトは海外からの患者に情報を提供するためのものであり、広告を含まず、法律に基づくプライバシー規則を遵守しています。
Milim Dental Hospital © 2025 - 著作権所有。

サイト言語を変更

日本語
ビッグセール – 最後の
20%オフ!