عربي
تخفيضات كبيرة – الأيام الأخيرة للحصول على 20% خصم!
482ساعة 59دقيقة 50ثانية

ابتسامتك المستقبلية يمكن أن تكون هنا
قد تكون هنا

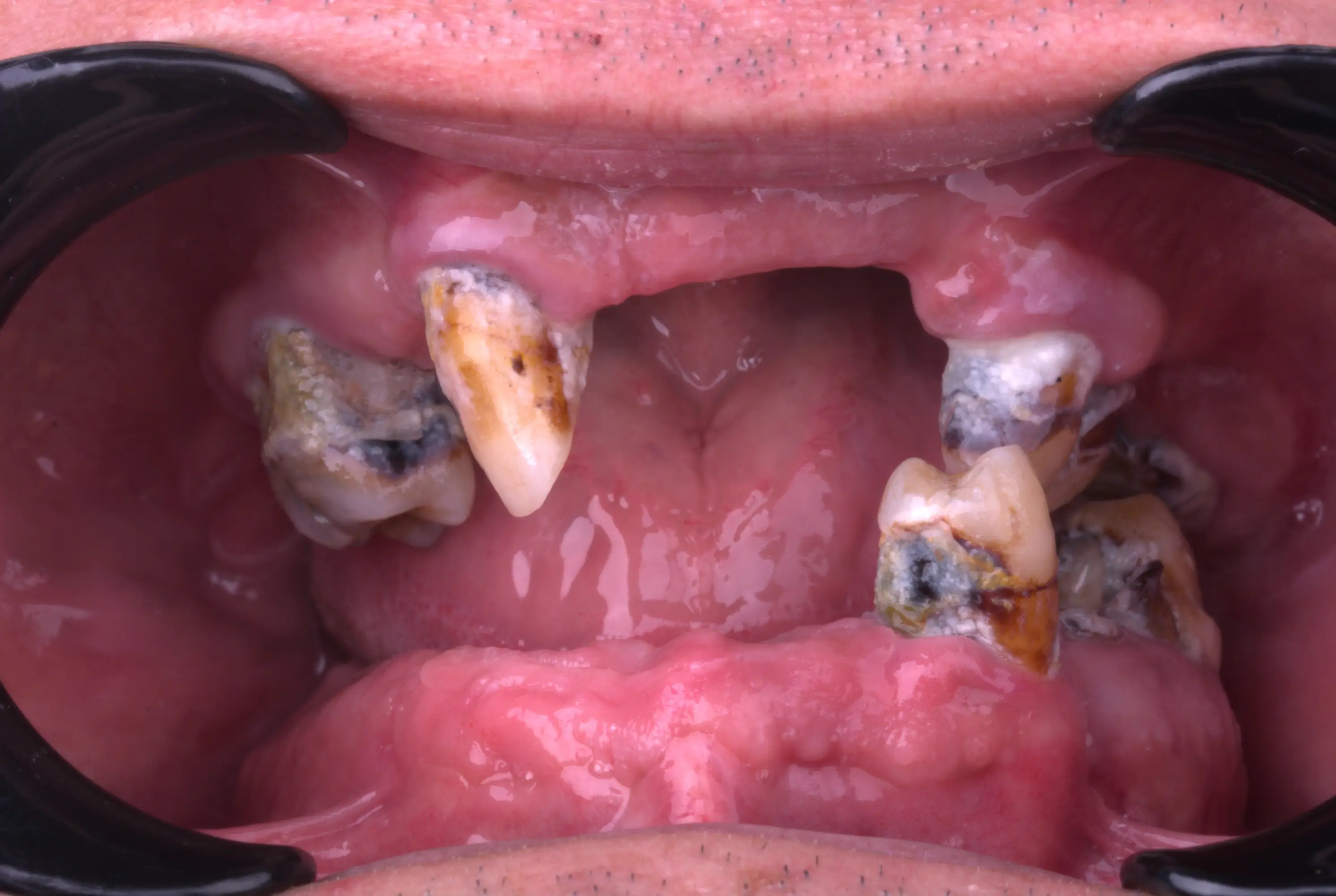
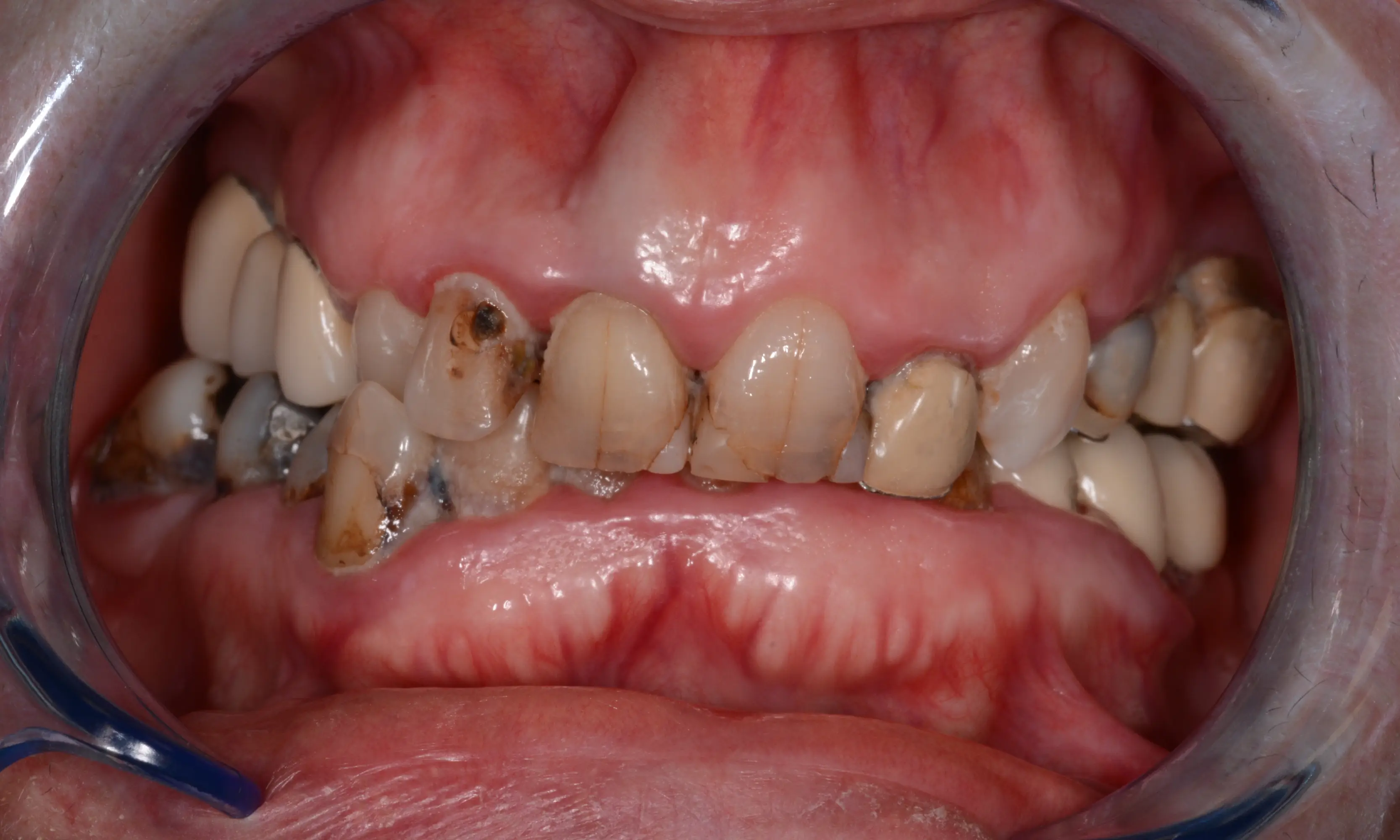
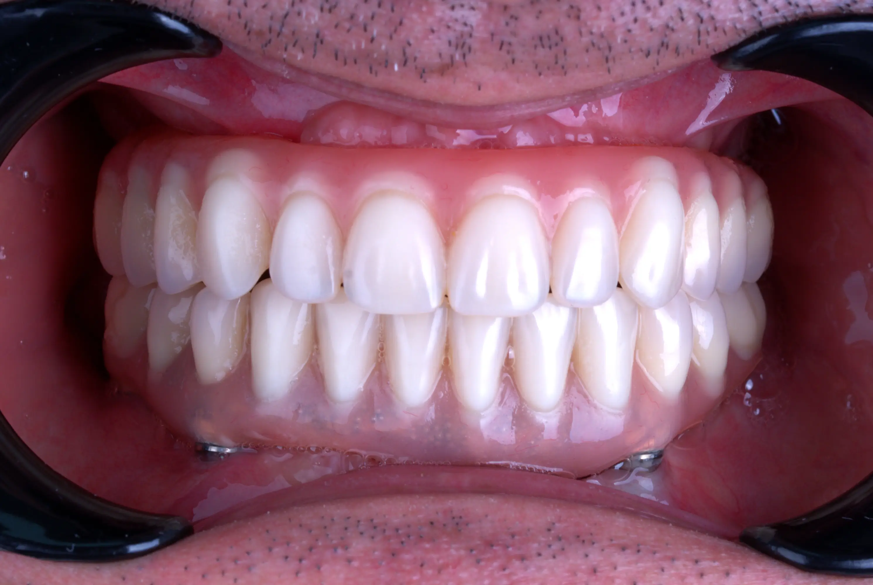
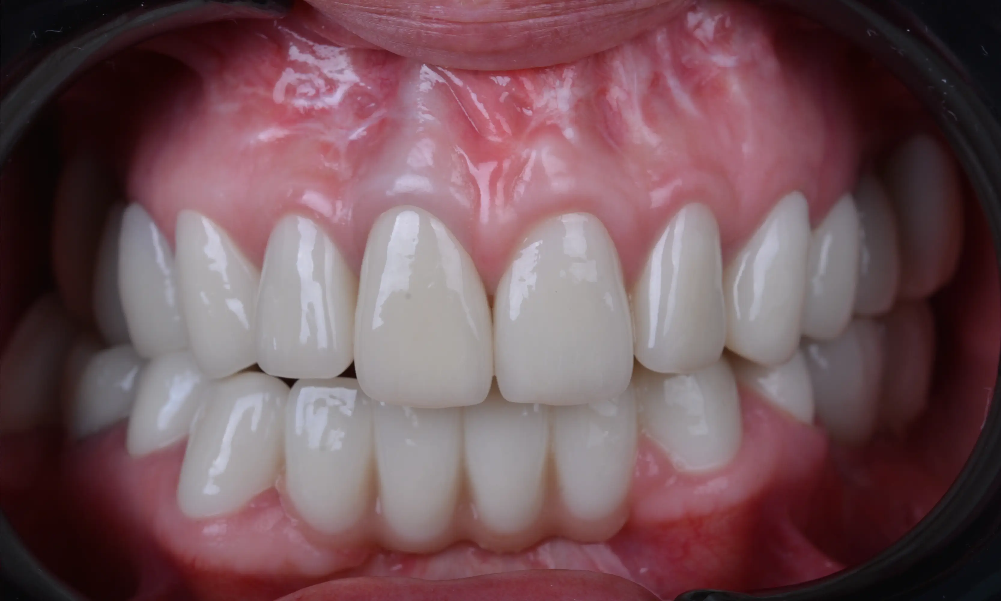
حالة 235 الفينيرز
قبل بعد
حالة 164 زركونيوم كامل
قبل بعد
حالة 203 تقويم-الأسنان
قبل بعد
حالة 224 ابتسامة هوليوود
قبل بعد
حالة 86 فينير كامل
قبل بعد
حالة 108 زركونيوم كامل
قبل بعد
حالة 52 فينير كامل
قبل بعد
حالة 266 زركونيوم كامل
قبل بعد
حالة 5 جميع على إكس
قبل بعد
حالة 85 فينير كامل
قبل بعد
حالة 269 الفينيرز
قبل بعد
حالة 36 فينير كامل
قبل بعد
حالة 224 السياحة العلاجية للأسنان
قبل بعد
حالة 188 الجميع على 6
قبل بعد
حالة 20 زرع
قبل بعد
حالة 267 زركونيوم كامل
قبل بعد
حالة 185 الجميع على 6
قبل بعد
حالة 106 زركونيوم كامل
قبل بعد
حالة 267 السياحة العلاجية للأسنان
قبل بعد
حالة 25 زرع
قبل بعد
حالة 15 زرع
قبل بعد
حالة 238 السياحة العلاجية للأسنان
قبل بعد
حالة 90 زرع الوجني
قبل بعد
حالة 267 الفينيرز
قبل بعد
حالة 239 الفينيرز
قبل بعد
حالة 215 ابتسامة هوليوود
قبل بعد
حالة 265 زركونيوم كامل
قبل بعد
حالة 248 ابتسامة هوليوود
قبل بعد
حالة 222 السياحة العلاجية للأسنان
قبل بعد
حالة 55 زركونيوم كامل
قبل بعد
حالة 223 السياحة العلاجية للأسنان
قبل بعد
حالة 159 زرع
قبل بعد
حالة 230 ابتسامة هوليوود
قبل بعد
حالة 262 فينير كامل
قبل بعد
حالة 56 زركونيوم كامل
قبل بعد
حالة 267 فينير كامل
قبل بعد
حالة 208 تقويم-الأسنان
قبل بعد
حالة 37 فينير كامل
قبل بعد
حالة 245 ابتسامة هوليوود
قبل بعد
حالة 247 الفينيرز
قبل بعد
حالة 263 السياحة العلاجية للأسنان
قبل بعد
حالة 24 زركونيوم كامل
قبل بعد
حالة 268 الفينيرز
قبل بعد
حالة 23 زركونيوم كامل
قبل بعد
حالة 63 زركونيوم كامل
قبل بعد
حالة 242 الفينيرز
قبل بعد
حالة 27 زركونيوم كامل
قبل بعد
حالة 178 زركونيوم كامل
قبل بعد
حالة 221 ابتسامة هوليوود
قبل بعد
حالة 62 زركونيوم كامل
قبل بعد
حالة 232 الفينيرز
قبل بعد
حالة 19 زرع
قبل بعد
حالة 233 ابتسامة هوليوود
قبل بعد
حالة 137 فينير كامل
قبل بعد
حالة 241 السياحة العلاجية للأسنان
قبل بعد
حالة 234 الفينيرز
قبل بعد
حالة 219 ابتسامة هوليوود
قبل بعد
حالة 147 زركونيوم كامل
قبل بعد
حالة 133 زرع
قبل بعد
حالة 244 الفينيرز
قبل بعد
حالة 268 زركونيوم كامل
قبل بعد
حالة 250 ابتسامة هوليوود
قبل بعد
حالة 120 زركونيوم كامل
قبل بعد
حالة 231 الفينيرز
قبل بعد
حالة 33 فينير كامل
قبل بعد
حالة 183 زركونيوم كامل
قبل بعد
حالة 207 تقويم-الأسنان
قبل بعد
حالة 180 زركونيوم كامل
قبل بعد
حالة 264 زركونيوم كامل
قبل بعد
حالة 217 السياحة العلاجية للأسنان
قبل بعد
حالة 57 زركونيوم كامل
قبل بعد
حالة 118 الفينيرز
قبل بعد
حالة 198 تقويم-الأسنان
قبل بعد
حالة 270 ابتسامة هوليوود
قبل بعد
حالة 234 السياحة العلاجية للأسنان
قبل بعد
حالة 113 فينير كامل
قبل بعد
حالة 246 الفينيرز
قبل بعد
حالة 216 ابتسامة هوليوود
قبل بعد
حالة 202 تقويم-الأسنان
قبل بعد
حالة 229 الفينيرز
قبل بعد
حالة 237 الفينيرز
قبل بعد
حالة 64 زركونيوم كامل
قبل بعد
حالة 271 فينير كامل
قبل بعد
حالة 238 ابتسامة هوليوود
قبل بعد
حالة 124 زركونيوم كامل
قبل بعد
حالة 144 زرع
قبل بعد
حالة 162 فينير كامل
قبل بعد
حالة 237 ابتسامة هوليوود
قبل بعد
حالة 215 السياحة العلاجية للأسنان
قبل بعد
حالة 145 زركونيوم كامل
قبل بعد
حالة 222 الفينيرز
قبل بعد
حالة 49 فينير كامل
قبل بعد
حالة 48 فينير كامل
قبل بعد
حالة 143 زركونيوم كامل
قبل بعد
حالة 12 جميع على إكس
قبل بعد
حالة 232 ابتسامة هوليوود
قبل بعد
حالة 243 الفينيرز
قبل بعد
حالة 206 تقويم-الأسنان
قبل بعد
حالة 17 زرع
قبل بعد
حالة 221 الفينيرز
قبل بعد
حالة 262 زركونيوم كامل
قبل بعد
حالة 169 زرع
قبل بعد
حالة 151 زركونيوم كامل
قبل بعد
حالة 263 الفينيرز
قبل بعد
حالة 14 جميع على إكس
قبل بعد
حالة 122 فينير كامل
قبل بعد
حالة 11 جميع على إكس
قبل بعد
حالة 199 تقويم-الأسنان
قبل بعد
حالة 128 الفينيرز
قبل بعد
حالة 271 ابتسامة هوليوود
قبل بعد
حالة 241 ابتسامة هوليوود
قبل بعد
حالة 66 زرع الوجني
قبل بعد
حالة 220 الفينيرز
قبل بعد
حالة 166 زركونيوم كامل
قبل بعد
حالة 244 ابتسامة هوليوود
قبل بعد
حالة 180 زرع
قبل بعد
حالة 268 ابتسامة هوليوود
قبل بعد
حالة 21 زركونيوم كامل
قبل بعد
حالة 236 السياحة العلاجية للأسنان
قبل بعد
حالة 247 السياحة العلاجية للأسنان
قبل بعد
حالة 190 جميع على 4
قبل بعد
حالة 5 زرع الوجني
قبل بعد
حالة 215 الفينيرز
قبل بعد
حالة 19 فينير كامل
قبل بعد
حالة 264 الفينيرز
قبل بعد
حالة 95 الجميع على 6
قبل بعد
حالة 227 الفينيرز
قبل بعد
حالة 140 زركونيوم كامل
قبل بعد
حالة 173 فينير كامل
قبل بعد
حالة 107 زركونيوم كامل
قبل بعد
حالة 216 الفينيرز
قبل بعد
حالة 161 زرع
قبل بعد
حالة 252 الفينيرز
قبل بعد
حالة 3 جميع على إكس
قبل بعد
حالة 222 ابتسامة هوليوود
قبل بعد
حالة 10 جميع على إكس
قبل بعد
حالة 205 تقويم-الأسنان
قبل بعد
حالة 218 السياحة العلاجية للأسنان
قبل بعد
حالة 233 السياحة العلاجية للأسنان
قبل بعد
حالة 229 السياحة العلاجية للأسنان
قبل بعد
حالة 231 السياحة العلاجية للأسنان
قبل بعد
حالة 22 زرع
قبل بعد
حالة 40 فينير كامل
قبل بعد
حالة 35 فينير كامل
قبل بعد
حالة 132 فينير كامل
قبل بعد
حالة 136 الفينيرز
قبل بعد
حالة 23 زرع
قبل بعد
حالة 104 زرع
قبل بعد
حالة 129 زركونيوم كامل
قبل بعد
حالة 214 السياحة العلاجية للأسنان
قبل بعد
حالة 246 ابتسامة هوليوود
قبل بعد
حالة 237 السياحة العلاجية للأسنان
قبل بعد
حالة 84 ابتسامة هوليوود
قبل بعد
حالة 270 زركونيوم كامل
قبل بعد
حالة 6 جميع على إكس
قبل بعد
حالة 20 زركونيوم كامل
قبل بعد
حالة 96 زرع
قبل بعد
حالة 262 السياحة العلاجية للأسنان
قبل بعد
حالة 112 زركونيوم كامل
قبل بعد
حالة 144 فينير كامل
قبل بعد
حالة 265 ابتسامة هوليوود
قبل بعد
حالة 103 فينير كامل
قبل بعد
حالة 13 جميع على إكس
قبل بعد
حالة 123 زركونيوم كامل
قبل بعد
حالة 108 زرع
قبل بعد
حالة 101 الجميع على 6
قبل بعد
حالة 243 السياحة العلاجية للأسنان
قبل بعد
حالة 230 الفينيرز
قبل بعد
حالة 32 فينير كامل
قبل بعد
حالة 218 ابتسامة هوليوود
قبل بعد
حالة 38 فينير كامل
قبل بعد
حالة 93 الجميع على 6
قبل بعد
حالة 16 زرع
قبل بعد
حالة 29 فينير كامل
قبل بعد
حالة 182 زركونيوم كامل
قبل بعد
حالة 262 ابتسامة هوليوود
قبل بعد
حالة 50 فينير كامل
قبل بعد
حالة 45 فينير كامل
قبل بعد
حالة 240 السياحة العلاجية للأسنان
قبل بعد
حالة 161 زركونيوم كامل
قبل بعد
حالة 225 السياحة العلاجية للأسنان
قبل بعد
حالة 54 زركونيوم كامل
قبل بعد
حالة 92 الجميع على 6
قبل بعد
حالة 187 جميع على إكس
قبل بعد
حالة 30 جراحة الفك
قبل بعد
حالة 236 ابتسامة هوليوود
قبل بعد
حالة 239 ابتسامة هوليوود
قبل بعد
حالة 18 فينير كامل
قبل بعد
حالة 110 زركونيوم كامل
قبل بعد
حالة 242 السياحة العلاجية للأسنان
قبل بعد
حالة 43 فينير كامل
قبل بعد
حالة 51 فينير كامل
قبل بعد
حالة 250 الفينيرز
قبل بعد
حالة 223 الفينيرز
قبل بعد
حالة 9 جميع على إكس
قبل بعد
حالة 171 زركونيوم كامل
قبل بعد
حالة 231 ابتسامة هوليوود
قبل بعد
حالة 204 تقويم-الأسنان
قبل بعد
حالة 26 زرع
قبل بعد
حالة 210 تقويم-الأسنان
قبل بعد
حالة 24 زرع
قبل بعد
حالة 16 فينير كامل
قبل بعد
حالة 235 السياحة العلاجية للأسنان
قبل بعد
حالة 59 زركونيوم كامل
قبل بعد
حالة 169 زركونيوم كامل
قبل بعد
حالة 184 زرع الوجني
قبل بعد
حالة 270 الفينيرز
قبل بعد
حالة 248 السياحة العلاجية للأسنان
قبل بعد
حالة 218 الفينيرز
قبل بعد
حالة 102 جميع على 4
قبل بعد
حالة 226 السياحة العلاجية للأسنان
قبل بعد
حالة 15 فينير كامل
قبل بعد
حالة 235 ابتسامة هوليوود
قبل بعد
حالة 261 فينير كامل
قبل بعد
حالة 152 زركونيوم كامل
قبل بعد
حالة 225 الفينيرز
قبل بعد
حالة 262 الفينيرز
قبل بعد
حالة 245 السياحة العلاجية للأسنان
قبل بعد
حالة 98 جميع على 4
قبل بعد
حالة 111 زركونيوم كامل
قبل بعد
حالة 229 ابتسامة هوليوود
قبل بعد
حالة 248 الفينيرز
قبل بعد
حالة 175 فينير كامل
قبل بعد
حالة 271 السياحة العلاجية للأسنان
قبل بعد
حالة 228 الفينيرز
قبل بعد
حالة 211 تقويم-الأسنان
قبل بعد
حالة 266 فينير كامل
قبل بعد
حالة 34 فينير كامل
قبل بعد
حالة 159 الفينيرز
قبل بعد
حالة 116 الفينيرز
قبل بعد
حالة 227 ابتسامة هوليوود
قبل بعد
حالة 41 فينير كامل
قبل بعد
حالة 158 زركونيوم كامل
قبل بعد
حالة 265 السياحة العلاجية للأسنان
قبل بعد
حالة 27 زرع
قبل بعد
حالة 263 فينير كامل
قبل بعد
حالة 226 ابتسامة هوليوود
قبل بعد
حالة 4 جميع على إكس
قبل بعد
حالة 58 زركونيوم كامل
قبل بعد
حالة 269 زركونيوم كامل
قبل بعد
حالة 138 زركونيوم كامل
قبل بعد
حالة 104 فينير كامل
قبل بعد
حالة 26 زركونيوم كامل
قبل بعد
حالة 264 السياحة العلاجية للأسنان
قبل بعد
حالة 264 ابتسامة هوليوود
قبل بعد
حالة 177 زركونيوم كامل
قبل بعد
حالة 115 الفينيرز
قبل بعد
حالة 139 زركونيوم كامل
قبل بعد
حالة 142 فينير كامل
قبل بعد
حالة 265 فينير كامل
قبل بعد
حالة 127 زركونيوم كامل
قبل بعد
حالة 126 الفينيرز
قبل بعد
حالة 66 جميع على إكس
قبل بعد
حالة 201 تقويم-الأسنان
قبل بعد
حالة 268 فينير كامل
قبل بعد
حالة 65 زركونيوم كامل
قبل بعد
حالة 152 زرع
قبل بعد
حالة 176 الفينيرز
قبل بعد
حالة 28 زركونيوم كامل
قبل بعد
حالة 133 زركونيوم كامل
قبل بعد
حالة 149 الفينيرز
قبل بعد
حالة 226 الفينيرز
قبل بعد
حالة 60 زركونيوم كامل
قبل بعد
حالة 8 جميع على إكس
قبل بعد
حالة 271 الفينيرز
قبل بعد
حالة 153 فينير كامل
قبل بعد
حالة 21 زرع
قبل بعد
حالة 200 تقويم-الأسنان
قبل بعد
حالة 219 الفينيرز
قبل بعد
حالة 17 فينير كامل
قبل بعد
حالة 268 السياحة العلاجية للأسنان
قبل بعد
حالة 174 زركونيوم كامل
قبل بعد
حالة 53 زركونيوم كامل
قبل بعد
حالة 18 زرع
قبل بعد
حالة 263 ابتسامة هوليوود
قبل بعد
حالة 242 ابتسامة هوليوود
قبل بعد
حالة 94 الجميع على 6
قبل بعد
حالة 261 السياحة العلاجية للأسنان
قبل بعد
حالة 39 فينير كامل
قبل بعد
حالة 160 الفينيرز
قبل بعد
حالة 251 الفينيرز
قبل بعد
حالة 186 الجميع على 6
قبل بعد
حالة 236 الفينيرز
قبل بعد
حالة 266 الفينيرز
قبل بعد
حالة 179 فينير كامل
قبل بعد
حالة 163 زركونيوم كامل
قبل بعد
حالة 225 ابتسامة هوليوود
قبل بعد
حالة 261 زركونيوم كامل
قبل بعد
حالة 230 السياحة العلاجية للأسنان
قبل بعد
حالة 269 السياحة العلاجية للأسنان
قبل بعد
حالة 167 زركونيوم كامل
قبل بعد
حالة 247 ابتسامة هوليوود
قبل بعد
حالة 223 ابتسامة هوليوود
قبل بعد
حالة 191 الجميع على 6
قبل بعد
حالة 267 ابتسامة هوليوود
قبل بعد
حالة 156 زركونيوم كامل
قبل بعد
حالة 44 فينير كامل
قبل بعد
حالة 249 السياحة العلاجية للأسنان
قبل بعد
حالة 245 الفينيرز
قبل بعد
حالة 157 زركونيوم كامل
قبل بعد
حالة 227 السياحة العلاجية للأسنان
قبل بعد
حالة 271 زركونيوم كامل
قبل بعد
حالة 220 السياحة العلاجية للأسنان
قبل بعد
حالة 263 زركونيوم كامل
قبل بعد
حالة 89 الجميع على 6
قبل بعد
حالة 240 ابتسامة هوليوود
قبل بعد
حالة 269 ابتسامة هوليوود
قبل بعد
حالة 170 فينير كامل
قبل بعد
حالة 269 فينير كامل
قبل بعد
حالة 28 زرع
قبل بعد
حالة 217 الفينيرز
قبل بعد
حالة 221 السياحة العلاجية للأسنان
قبل بعد
حالة 100 الجميع على 6
قبل بعد
حالة 148 زركونيوم كامل
قبل بعد
حالة 224 الفينيرز
قبل بعد
حالة 61 زركونيوم كامل
قبل بعد
حالة 234 ابتسامة هوليوود
قبل بعد
حالة 42 فينير كامل
قبل بعد
حالة 114 زركونيوم كامل
قبل بعد
حالة 266 السياحة العلاجية للأسنان
قبل بعد
حالة 220 ابتسامة هوليوود
قبل بعد
حالة 228 السياحة العلاجية للأسنان
قبل بعد
حالة 150 زركونيوم كامل
قبل بعد
حالة 46 فينير كامل
قبل بعد
حالة 250 السياحة العلاجية للأسنان
قبل بعد
حالة 125 زركونيوم كامل
قبل بعد
حالة 251 ابتسامة هوليوود
قبل بعد
حالة 165 زركونيوم كامل
قبل بعد
حالة 131 زركونيوم كامل
قبل بعد
حالة 246 السياحة العلاجية للأسنان
قبل بعد
حالة 135 الفينيرز
قبل بعد
حالة 252 ابتسامة هوليوود
قبل بعد
حالة 270 فينير كامل
قبل بعد
حالة 22 زركونيوم كامل
قبل بعد
حالة 29 زرع
قبل بعد
حالة 249 ابتسامة هوليوود
قبل بعد
حالة 189 زرع الوجني
قبل بعد
حالة 249 الفينيرز
قبل بعد
حالة 99 الجميع على 6
قبل بعد
حالة 197 تقويم-الأسنان
قبل بعد
حالة 168 زركونيوم كامل
قبل بعد
حالة 232 السياحة العلاجية للأسنان
قبل بعد
حالة 1 جميع على 4
قبل بعد
حالة 109 الفينيرز
قبل بعد
حالة 244 السياحة العلاجية للأسنان
قبل بعد
حالة 243 ابتسامة هوليوود
قبل بعد
حالة 91 الجميع على 6
قبل بعد
حالة 25 فينير كامل
قبل بعد
حالة 266 ابتسامة هوليوود
قبل بعد
حالة 97 جميع على إكس
قبل بعد
حالة 261 الفينيرز
قبل بعد
حالة 238 الفينيرز
قبل بعد
حالة 119 الفينيرز
قبل بعد
حالة 121 زركونيوم كامل
قبل بعد
حالة 265 الفينيرز
قبل بعد
حالة 172 الفينيرز
قبل بعد
حالة 233 الفينيرز
قبل بعد
حالة 30 فينير كامل
قبل بعد
حالة 217 ابتسامة هوليوود
قبل بعد
حالة 209 تقويم-الأسنان
قبل بعد
حالة 7 جميع على إكس
قبل بعد
حالة 47 فينير كامل
قبل بعد
حالة 146 الفينيرز
قبل بعد
حالة 88 جميع على إكس
قبل بعد
حالة 240 الفينيرز
قبل بعد
حالة 264 فينير كامل
قبل بعد
حالة 105 زركونيوم كامل
قبل بعد
حالة 117 الفينيرز
قبل بعد
حالة 219 السياحة العلاجية للأسنان
قبل بعد
حالة 216 السياحة العلاجية للأسنان
قبل بعد
حالة 228 ابتسامة هوليوود
قبل بعد
حالة 270 السياحة العلاجية للأسنان
قبل بعد
حالة 181 زركونيوم كامل
قبل بعد
حالة 261 ابتسامة هوليوود
قبل بعد
حالة 241 الفينيرز
قبل بعد
حالة 130 زركونيوم كامل
قبل بعد
حالة 252 السياحة العلاجية للأسنان
قبل بعد
حالة 87 زركونيوم كامل
قبل بعد
حالة 239 السياحة العلاجية للأسنان
قبل بعد
حالة 251 السياحة العلاجية للأسنان
قبل بعد
حالة 2 جميع على 4
قبل بعد

مستشفى ميليم لطب الأسنان يقدم خدمات شاملة لطب الأسنان في منشأة فسيحة تبلغ 1000 متر مربع، مدعومة بفريق واسع من أخصائيي الأسنان بما في ذلك جراحو الفم والوجه والفكين، وأخصائيو الترميم، وتقويم الأسنان، وطب أسنان الأطفال، وأمراض اللثة.

مركزنا معتمد من قبل وزارة الصحة التركية للسياحة الصحية الدولية. هذا الموقع مخصص فقط لإعلام المرضى من خارج البلاد. لا يحتوي على إعلانات ويتوافق مع اللوائح القانونية للخصوصية.
Milim Dental Hospital © 2025 - جميع الحقوق محفوظة.

هل لديك سؤال في بالك؟

Change Site Language

عربي
تخفيضات كبيرة – الأيام الأخيرة للحصول على 20% خصم!