中國人
大促销 – 最后几天 九折优惠!
649小时 08分钟 24秒

您的未来微笑
可能在这里

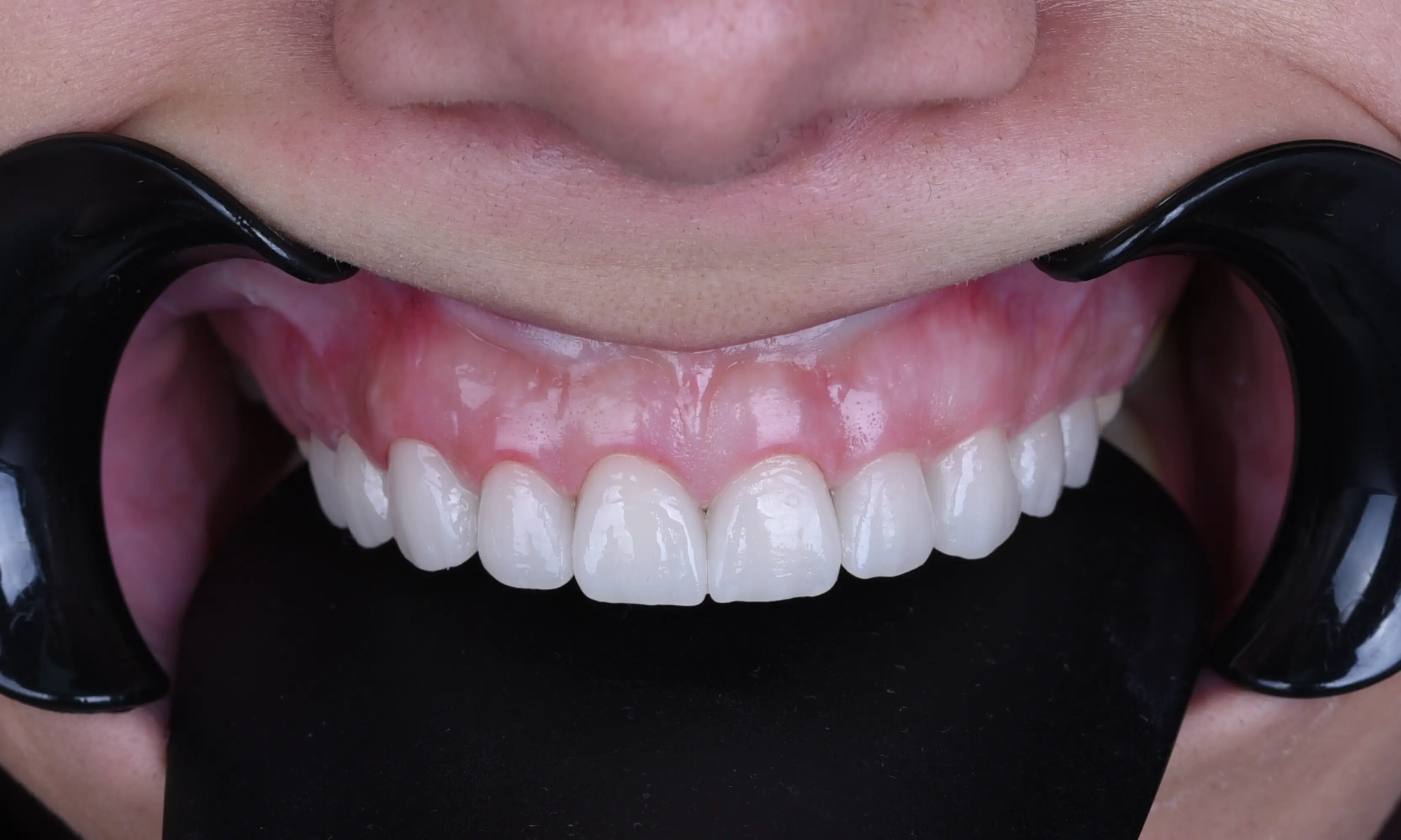
案例 92 全部6颗牙
之前 之後
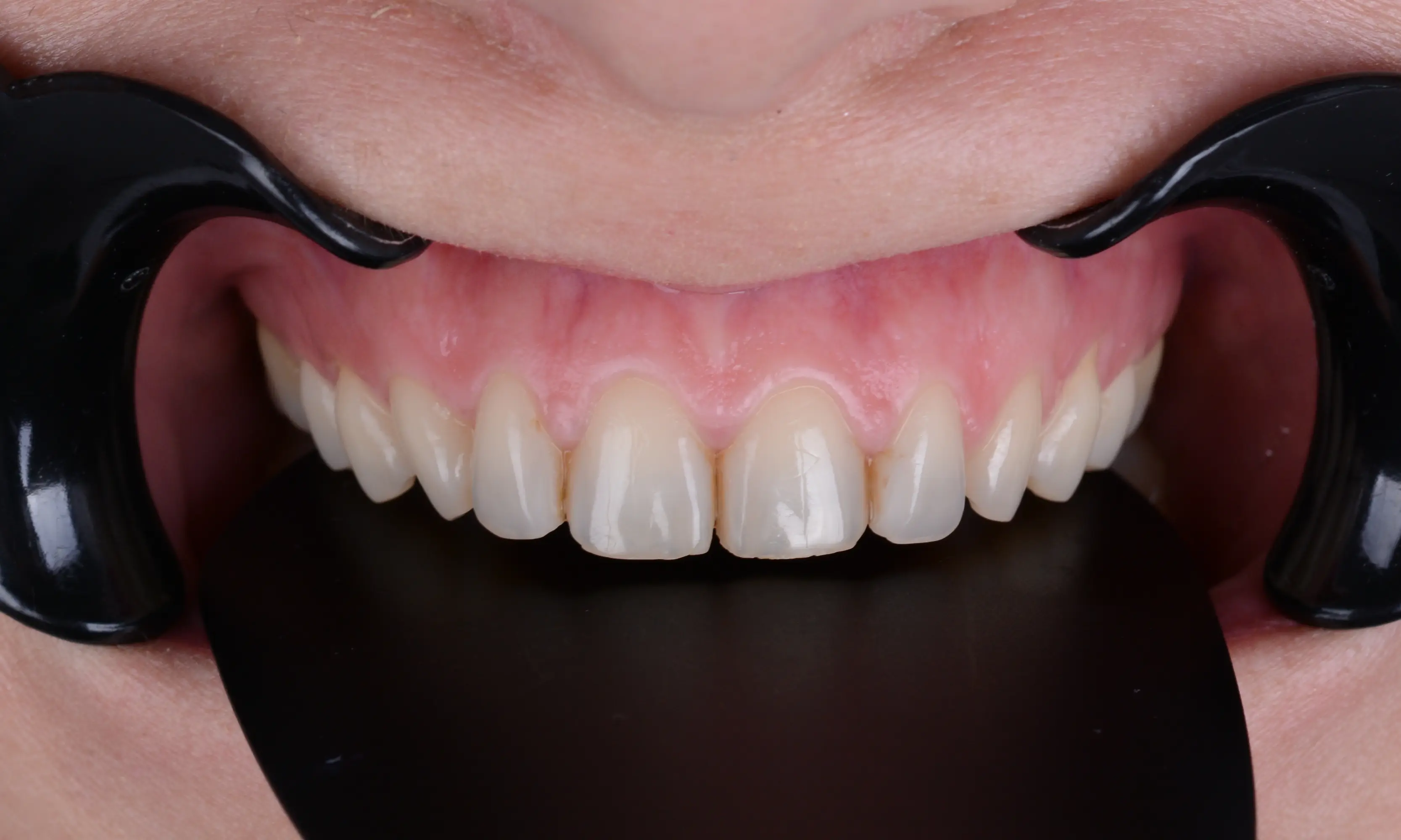
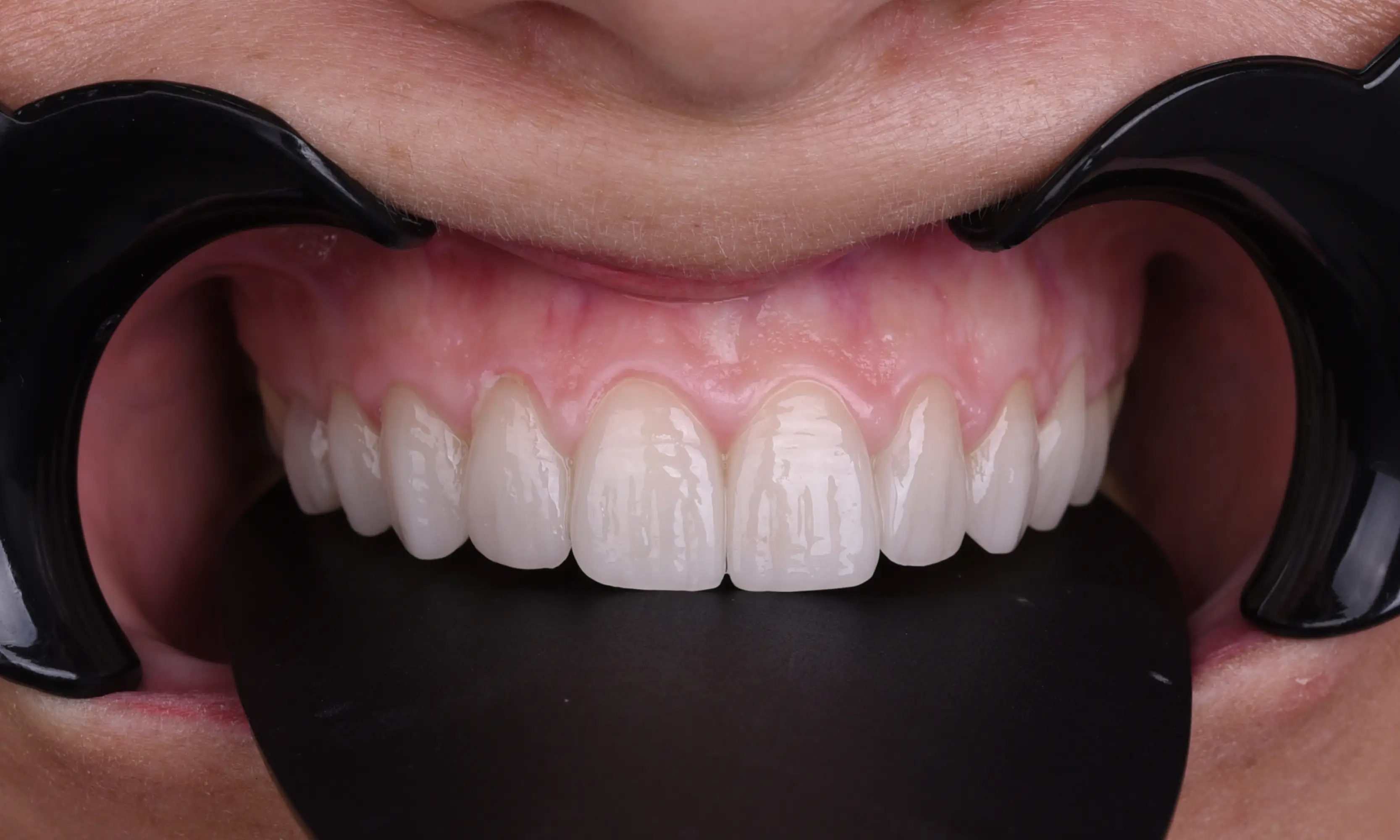
案例 266 贴面
之前 之後
案例 174 全口鋯材
之前 之後
案例 230 贴面
之前 之後
案例 239 贴面
之前 之後
案例 251 贴面
之前 之後
案例 231 贴面
之前 之後
案例 221 贴面
之前 之後
案例 269 牙科旅游
之前 之後
案例 265 全口瓷貼面
之前 之後
案例 113 全口瓷貼面
之前 之後
案例 11 全口牙X
之前 之後

Milim Dental Hospital 提供全面的牙科服务,面积达 1,000 平方米,拥有包括口腔和颌面外科、修复学、正畸学、儿童牙科和牙周病学等专家在内的广泛牙科专业团队。

我们的诊所获得了土耳其卫生部的国际健康旅游许可。此网站仅用于通知来自国外的患者。它不包含广告,并遵守法律隐私规定。
Milim Dental Hospital © 2025 - 版权所有。

更改網站語言

中國人
大促销 – 最后几天 九折优惠!