中國人
大促销 – 最后几天 九折优惠!
192小时 47分钟 43秒
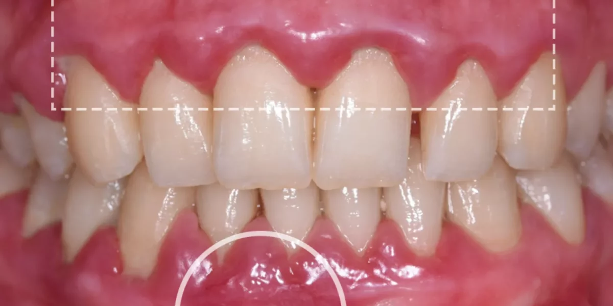
牙齦疾病、牙齦出血及如何保護您的牙齒

牙齦疾病、牙齦出血及如何保護您的牙齒

9 December Tue, 2025

作为Milim Dental Bursa的口腔健康专家,我经常遇到患者,他们比真正口腔中的“沉默杀手”——牙龈病,更害怕根管治疗和补牙。虽然龋齿会损害个别牙齿,但牙龈病会慢慢破坏固定所有牙齿的骨骼和组织。

本文解释了什么是牙龈病、它如何与口臭和牙齿脱落相关,以及您在家中和诊所内可以采取的保护您笑容的措施。

向我們的專家醫生請求免費治療計劃

什么是牙龈病?

牙龈病开始于牙菌斑——一种粘性的细菌膜——在牙齿和牙龈线周围积聚。

有两个主要阶段:

牙龈炎

牙龈红肿

刷牙或使用牙线时出血

通常无痛

牙龈炎可通过良好的清洁和专业护理逆转。

牙周炎

牙菌斑变硬形成牙石(结石)

牙龈从牙齿上脱离,形成“袋子”

牙齿周围的骨骼逐渐丧失

牙齿可能随时间变得松动

牙周炎无法完全治愈,但可以通过适当的治疗和维护来稳定病情。

为什么牙龈出血是警告信号

很多Bursa的人看到牙刷上有血,以为“我刷得太用力了,应该停止刷那里。”

实际上,通常情况相反:

牙龈出血是因为牙菌斑和细菌刺激了它们。

避免刷该区域会导致更多牙菌斑积聚。

炎症加重,出血增加。

在Milim Dental Bursa,我们解释说牙龈出血是您的身体在说:“请帮我清洁得更好,并获得专业帮助。”

牙龈病如何威胁您的牙齿

晚期牙龈病是全球成年人牙齿脱落的主要原因之一。随着骨骼的丧失,牙齿失去支持,可能会:

移动或偏离位置

咀嚼时变得敏感或疼痛

最终变得松动,唯一的选择是拔除

患者常常会感到惊讶,一颗没有蛀牙的牙齿需要被拔除,是因为周围的骨头消失了。这就是为什么我们说:

补牙和根管治疗能保存牙齿结构。

牙龈治疗能保护固定牙齿的基础。

牙龈疾病的基础治疗

在Milim Dental Bursa,牙龈治疗根据疾病阶段量身定制:

专业洗牙和抛光以去除牙龈线以上的牙菌斑和牙石。

局部麻醉下的深度清洁(根面平整)以清洁较深牙周袋内的牙根。

详细的家庭护理指导,包括牙刷类型、牙间刷和舌头清洁。

如果牙龈疾病非常严重,我们可能与牙周专家合作或考虑额外的程序。但基石始终是细致的清洁——无论是在诊所还是在家中。

牙刷、牙膏与牙龈健康

对于发炎的牙龈,我们通常推荐:

软毛或超软毛牙刷以避免创伤,同时能彻底清洁。

含氟牙膏用于预防蛀牙,有时短期结合抗炎或抗菌成分。

牙间清洁(牙线、牙间刷或水牙线器)以清洁牙齿间隙,牙龈疾病常从这里开始。

一些病人询问油拔法对牙龈健康的作用。虽然油拔可以帮助去除一些残留物,但不能替代用含氟牙膏刷牙或专业治疗。可视为可选而非必需。

牙龈疾病、口臭与舌头清洁

慢性口臭常与牙龈疾病有关。牙龈袋和舌头上的细菌产生挥发性硫化物,产生难闻气味。

Milim Dental Bursa的标准建议包括:

通过专业清洁治疗牙龈疾病。

每天清洁舌头(舌刮器或软刷)。

检查其他原因,如蛀牙、口干或鼻窦问题。

根管治疗、填充和牙龈疾病口腔的美白

在进行牙齿美白等美容程序之前,我们始终检查牙龈健康状况。

在发炎的牙龈上美白可能会增加敏感度和不适感。

在有活动性感染的区域进行填充和根管治疗,如果牙龈疾病未得到控制,预后可能较差。

这就是为什么我们通常从全面的牙龈和口腔健康评估开始任何笑容改善计划,然后处理紧急需求,如深度蛀牙或根管治疗,最后才进行美容程序。

您如何帮助保护您的牙齿

为了保护您的牙龈和牙齿,您可以:

每天用软毛刷和含氟牙膏刷牙两次。

每天清洁牙缝一次。

轻柔地清洁舌头以减少细菌和口臭。

避免吸烟,吸烟是牙龈疾病的主要风险因素。

至少每年访问 Milim Dental Bursa 一次(如果建议则更频繁)进行检查和专业清洁。

牙龈疾病是一个缓慢且无声的过程,但如果您及早采取行动,可以保持天然牙齿多年。通过结合专业护理和简单的日常习惯,您不仅保护了您的笑容,也保护了整体健康。

一抹美丽
让一切变得不同

Milim牙科医院是第一家获得土耳其共和国卫生部颁发的“健康旅游授权证书”的牙科中心。
所有文章
牙齦疾病、牙齦出血及如何保護您的牙齒
east

牙齦疾病、牙齦出血及如何保護您的牙齒。了解牙齦炎和晚期牙周炎的症狀,探索有效的治療方法,並瞭解防止牙齒脫落的必要步驟。

牙齿矫正器治疗贵不贵?
east

牙齿矫正器(Invisalign)治疗值得花费吗?了解除了价格以外决定牙套与传统牙箍价值的因素,重点关注数字技术、舒适度、美学以及对自信心的长期投资。

什麼是牙齒矯正(矯正器)治療以及如何應用?
east

牙齒矯正治療,通常稱為矯正器治療,是牙科內的一個專業領域。執行這項治療的牙醫稱為正畸醫生。牙齒矯正專注於診斷和治療因牙齒及其周圍組織造成的口腔和面部不規則。

為什麼病人
選擇米林?

米林牙科醫院不僅僅是一個診所—這是自信微笑的起點。擁有世界級專家的團隊、先進的技術和以病人為中心的方法,我們將牙科護理轉變為高端體驗。
我們優先考慮衛生、舒適和為您量身定制的治療。不要僅僅聽我們的話—探索來自真實病人的真實故事。
您的完美微笑從這裡開始。加入米林體驗。

查看所有體驗
play_arrow
Dr. Dt. İsmail Özkısaoğlu 牙醫
免費諮詢
play_arrow
Dr. Dt. Ali Direnç Ulaşan 口腔、牙科及頜面外科醫師
免費諮詢
play_arrow
Dr. Dt. Ali Direnç Ulaşan 口腔、牙科及頜面外科醫師
免費諮詢

Milim Dental Hospital 提供全面的牙科服务,面积达 1,000 平方米,拥有包括口腔和颌面外科、修复学、正畸学、儿童牙科和牙周病学等专家在内的广泛牙科专业团队。

我们的诊所获得了土耳其卫生部的国际健康旅游许可。此网站仅用于通知来自国外的患者。它不包含广告,并遵守法律隐私规定。
Milim Dental Hospital © 2025 - 版权所有。
中國人
大促销 – 最后几天 九折优惠!