Shqip
Zbritje e Madhe – Ditet e Fundit për 20% Zbritje!
58ORA 09MINUTË 42SEKONDË
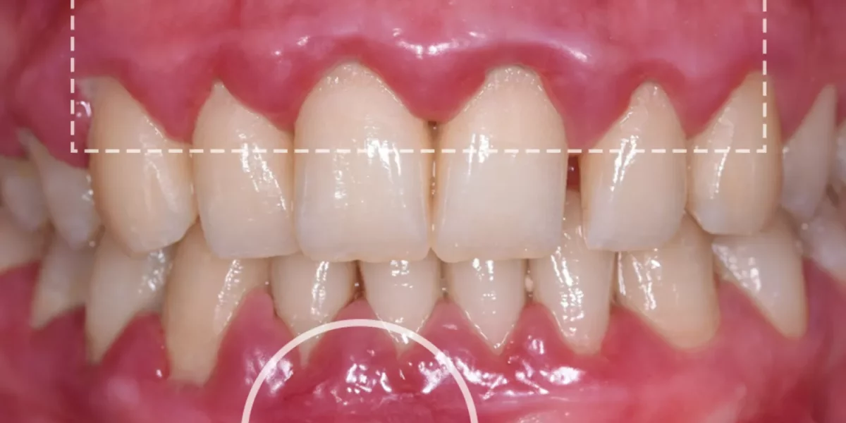
Sëmundja e mishrave të dhëmbëve, gjakderdhja e mishrave dhe si të shpëtojmë dhëmbët tuaja

Sëmundja e mishrave të dhëmbëve, gjakderdhja e mishrave dhe si të shpëtojmë dhëmbët tuaja

9 December Tue, 2025

Si një specialist i shëndetit oral në Milim Dental Bursa, unë shpesh takohem me pacientë që kanë frikë më shumë nga trajtimi i kanalit rrënjës dhe mbushjet sesa nga “vrasësi i heshtur” në gojë: sëmundja e mishrave të dhëmbëve. Ndërsa çarjet dëmtojnë dhëmbët individualë, sëmundja e mishrave të dhëmbëve mund të shkatërrojë ngadalë kockën dhe indet që mbajnë të gjitha dhëmbët tuaj në vend.

Ky artikull shpjegon se çfarë është sëmundja e mishrave të dhëmbëve, si lidhet me erën e keqe të gojës dhe humbjen e dhëmbëve, dhe çfarë mund të bëni në shtëpi dhe në klinikë për të mbrojtur buzëqeshjen tuaj.

Kërkoni një Plan Trajtimi Falas nga Doktorët Tanë Ekspertë

Çfarë është Sëmundja e Mishrave të Dhëmbëve?

Sëmundja e mishrave të dhëmbëve fillon kur plaku dentar – një film ngjitës bakteresh – akumulon rreth dhëmbëve dhe vijës së mishrave të dhëmbëve.

Ka dy faza kryesore:

Gingiviti

Mishrat e dhëmbëve të kuq, të fryrë

Gjakosje gjatë larjes ose përdorimit të dantit

Zakonisht pa dhimbje

Gingiviti është e kthyeshme me pastrim të mirë dhe kujdes profesional.

Peridontiti

Plaku shndërrohet në tartar (kalkulus)

Mishrat e dhëmbëve ndahen nga dhëmbët, duke formuar "xhepa"

Kocka rreth dhëmbëve humbet ngadalë

Dhëmbët mund të bëhen të lëvizshëm me kalimin e kohës

Peridontiti nuk mund të kurohet plotësisht, por mund të stabilizohet me trajtim dhe mirëmbajtje të duhur.

Pse Gjakosja e Mishrave të Dhëmbëve është një Shenjë Paralajmëruese

Shumë njerëz në Bursa shohin gjak në furçën e dhëmbëve dhe mendojnë: “Duhet të po furçoj shumë fort, duhet të ndaloj furçimin aty.”

Në të vërtetë, e kundërta është zakonisht e vërtetë:

Mishrat e dhëmbëve gjakosin sepse plaku dhe bakteret i irritojnë ato.

Shmangia e larjes së atij rajoni lejon që më shumë plaku të grumbullohet.

Inflamacioni përkeqësohet dhe gjakosja rritet.

Në Milim Dental Bursa, ne shpjegojmë që mishrat e dhëmbëve që gjakosin janë mënyra e trupit tuaj për të thënë: “Ju lutem më pastroni më mirë dhe merrni ndihmë profesionale.”

Si Sëmundja e Mishrave të Dhëmbëve Kërcënon Dhëmbët Tuaj

Sëmundja e avancuar e mishrave të dhëmbëve është një nga shkaktarët kryesorë të humbjes së dhëmbëve te të rriturit në mbarë botën. Ndërsa kocka humbet, dhëmbët humbin mbështetje dhe mund të:

Lëvizni ose flisni jashtë pozite

Të bëni të ndjeshëm ose të dhimbshëm kur kafshoni

Në fund të bëni aq të lirë saqë heqja është e vetmja mundësi

Pacientët shpesh janë të befasuar kur një dhëmb pa cavitet duhet të hiqet sepse kocka rreth tij është e humbur. Kjo është arsyeja pse ne themi:

Plombat dhe trajtimi i kanalit të rrënjës shpëtuan strukturën e dhëmbit.

Trajtimi i gingivës shpëton themelin që mban dhëmbët në vend.

Trajtime të Bazës për Sëmundjen e Gingivës

Në Milim Dental Bursa, terapia e gingivës përshtatet me fazën e sëmundjes:

Pastrim profesional dhe polizim për të hequr pllakën dhe tartarin mbi vijën e gingivës.

Pastrim i thellë (plani i rrënjës) nën anestezi lokale për të pastruar rrënjët në xhepat më të thella.

Udhëzime të detajuara për kujdesin në shtëpi, duke përfshirë llojin e furçës së dhëmbëve, furçat interdental dhe pastrimin e gjuhës.

Nëse sëmundja e gingivës është shumë e avancuar, ne mund të punojmë së bashku me periodontistët ose të shqyrtojmë procedura shtesë. Por themeli është gjithmonë pastrimi i kujdesshëm - si në klinikë ashtu edhe në shtëpi.

Furçat e dhëmbëve, Pasta e dhëmbëve dhe Shëndeti i Gingivës

Për gingivën e inflamuar, ne zakonisht rekomandojmë:

Një furçë të butë ose ekstra të butë për të shmangur traumat, por për të lejuar pastrim të plotë.

Pasta me fluor për parandalimin e cavitetit, ndonjëherë e kombinuar me përbërës antibakterial ose anti-inflamator për periudha të shkurtra.

Pastrimi interdental (fqesë, furçat interdental ose pastrues uji) për të arritur hapësirat midis dhëmbëve ku shpesh fillon sëmundja e gingivës.

Disa pacientë pyesin për tërheqjen e naftës për shëndetin e gingivës. Ndërsa tërheqja e naftës mund të ndihmojë në heqjen e disa mbeturinave, ajo nuk mund të zëvendësojë brushimin me pastë me fluor ose trajtimin profesional. Mendoni për të si opsion, jo thelbësor.

Sëmundja e Gingivës, Era e Keqe dhe Pastrimi i Gjuhës

Era kronike e keqe shpesh është e lidhur me sëmundjen e gingivës. Bakteret në xhepat e gingivës dhe mbi gjuhë prodhojnë përbërës të shkalluar të të kuptuarit që kanë një erë të pakëndshme.

Këshilla jonë standarde në Milim Dental Bursa përfshin:

Trajtimi i sëmundjes së gingivës me pastrim profesional.

Pastrim i përditshëm i gjuhës (grushti i gjuhës ose furçë e butë).

Kontrollimi për shkakje të tjera si kariesi, gojë e thatë apo probleme me sinuset.

Kanali i rrënjës, mbushjet dhe zbardhja në gojën me sëmundje gingivale

Para procedurave kozmetike si zbardhja e dhëmbëve, ne gjithmonë kontrollojmë shëndetin e mishrave të dhëmbëve.

Zbardhja mbi mishët e dhëmbëve të inflamuar mund të rrisë ndjeshmërinë dhe pakënaqësinë.

Mbushjet dhe trajtimet e kanalit të rrënjës në zona me infeksion aktiv mund të kenë një prognozë më të dobët nëse sëmundja e mishit të dhëmbit nuk kontrollohet.

Prandaj shpesh e fillojmë çdo plan për përmirësimin e buzëqeshjes me një vlerësim të plotë të shëndetit të mishrave dhe gojës, pastaj i adresojmë nevojat urgjente si kariesët e thellë ose kanalit të rrënjës, dhe vetëm atëherë kalojmë në procedurat kozmetike.

Si të Ndihmoni për të Shpëtuar Dhëmbët Tuaj

Për të mbrojtur mishrat dhe dhëmbët tuaj, mund të:

Lani dy herë në ditë me një furçë të butë dhe pastë dhëmbësh me fluor.

Pastroni midis dhëmbëve tuaj një herë në ditë.

Pastroni gjuhën tuaj butësisht për të reduktuar bakteret dhe erën e keqe të gojës.

Shmangni duhanin, i cili është një faktor kryesor rreziku për sëmundjen e mishit të dhëmbit.

Vizitoni Milim Dental Bursa të paktën një herë në vit (apo më shpesh nëse rekomandohet) për kontrolle dhe pastrim profesional.

Sëmundja e mishrave të dhëmbëve është një proces i ngadalshëm, i heshtur, por nëse veproni herët, mund të mbani dhëmbët tuaj të natyrshëm për shumë vite. Duke bashkuar kujdesin profesional me zakonet e thjeshta të përditshme, mbani jo vetëm buzëqeshjen tuaj, por edhe shëndetin tuaj të përgjithshëm.

A Milim
Bën një Dallim të Madh

Spitali Dentar Milim është i pari qendër dentare që merr "Certifikatën e Autorizimit të Turizmit Shëndetësor" të lëshuar nga Ministria e Shëndetësisë së Republikës së Turqisë.
Të gjitha Artikujt
Çfarë Të Bëni Kur Dhëmbi Ju Dhemb
east

Dhimbja e dhëmbit zakonisht ndodh si pasojë e disa problemeve dentare. Është një dhimbje shumë e parehatshme që ndjehet në dhëmb, nofullë dhe ndonjëherë në zona të caktuara të fytyrës. Ajo ndikon drejtpërdrejt dhe zvogëlon cilësinë e jetës. Në shumicën e rasteve, është një lloj dhimbjeje e fortë. Dhimbja e dhëmbit mund të shkaktohet nga shumë arsyese, si irritimi i mishit të dhëmbit ose prishja e dhëmbit. Irritimi i lehtë i mishit të dhëmbit mund të shkaktojë dhimbje të përkohshme që kalon vetë, por disa probleme dentare mund të çojnë në probleme më serioze.

Invisalign ose Braces për Adoleshentët në Bursa? Një Udhëzues për Prindërit
east

Invisalign ose braces tradicionale për adoleshentin tuaj në Bursa? Një udhëzues për prindërit që krahason faktorë kritikë në trajtimin ortodontik të adoleshentëve, përfshirë kostot, përputhshmërinë, estetikën dhe kohëzgjatjen e trajtimit për të zgjedhur opsionin më të mirë për fëmijën tuaj.

Nxjerrja e Dhëmbit të Urtës Oral Surgeon Bursa: Nxjerrje pa Dhimbje, Shërim i Shpejtë & Udhëzues për Kohën e Duhur
east

Kur bëhet fjalë për nxjerrjen e dhëmbëve në Bursa, pyetjet më të zakonshme janë të njëjta: ”A do të dëmtojë shumë? Sa zgjat? A mund të ndodhë dry socket? Kur mund të kthehem në punë?” Si kirurg oral dhe maksilofacial, qëllimi im është të sqaroj që nxjerrja konsiderohet gjithmonë opsioni i fundit, por kur është e nevojshme, e kryejmë në mënyrën më të sigurt dhe të rehatshme të mundshme.

Pse pacientët
Zgjedhin Milim?

Spitali Dentar Milim nuk është vetëm një qendër, është vendi ku buzëqeshja e besueshme fillon. Me një ekip specialistësh të nivelit botëror, teknologji të avancuar dhe një qasje prioritare për pacientin, ne e kthejmë kujdesin dental në një përvojë të klasit të lartë.
Ne prioritet keni higjienën, rehatisë dhe trajtimet e personalizuara të krijuara vetëm për ju. Mos u mbështet vetëm në fjalët tona, eksploroni histori të vërteta nga pacientë të vërtetë.
Buzëqeshja juaj e përsosur fillon këtu. Bashkohuni me përvojën Milim.

Shiko të gjitha përvojat
play_arrow
Dr. Dt. İsmail Özkısaoğlu Dentist
Merrni Konsultimë Falas
play_arrow
Dr. Dt. Ali Direnç Ulaşan Kirurg Oral, Dental dhe Maksilofacial
Merrni Konsultimë Falas
play_arrow
Dr. Dt. Ali Direnç Ulaşan Kirurg Oral, Dental dhe Maksilofacial
Merrni Konsultimë Falas

Spitali Dental Milim ofron shërbime të plota dentare në një ambient të hapur prej 1,000 m², i mbështetur nga një ekip i gjerë profesionistësh dentarë përfshirë specialistë në Operacionin Oral dhe Maxillofacial, Prostodonti, Ortodonti, Stomatologji Pediatrike dhe Periodonti.

Klinička jonë është autorizuar nga Ministria turke e Shëndetësisë për Turizmin Ndërkombëtar Shëndetësor. Ky uebfaqe është vetëm për informimin e pacientëve nga jashtë. Nuk përmban reklama dhe përputhet me rregulloret ligjore të privatësisë.
Milim Dental Hospital © 2025 - Të gjitha të drejtat janë të rezervuara.

A keni një pyetje në mendje?

Shqip
Zbritje e Madhe – Ditet e Fundit për 20% Zbritje!