English
Big Sale – Last Days for 20% Off!
264HOUR 09MINUTE 22SECOND
Can a Better Smile Really Change Daily Life?

Can a Better Smile Really Change Daily Life?

12 March Thu, 2026

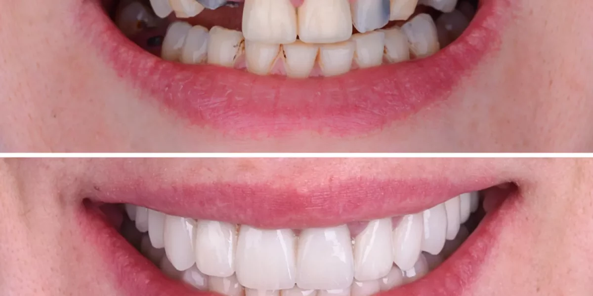
For many people, yes. Studies on the psychosocial impact of dental aesthetics suggest that dissatisfaction with teeth can affect comfort in smiling, social interaction, and self-perception. While a smile makeover is not a cure for every confidence issue, it can improve how a person feels in visible, day-to-day moments—photos, conversations, dating, work presentations, and casual laughter.

That is why Hollywood Smile treatment often has a lifestyle impact beyond appearance. At MilimDental, the goal is to create a smile that people use more freely, not one they become obsessed with protecting or hiding behind. When treatment is done well, the biggest change is often behavioral: patients stop covering their mouth, stop avoiding photos, and start smiling more naturally.

Request a Free Treatment Plan from Our Expert Doctors


Category: Hollywood Smile

A Milim
Makes a Big Difference

Milim Dental Hospital is the first dental centre to receive the "Health Tourism Authorisation Certificate" issued by the Ministry of Health of the Republic of Turkey.
All Articles
Aesthetic Braces Guide from Orthodontic Specialist Dr. Begüm Ulaşan in Bursa
east

Looking for aesthetic orthodontic treatment? Bursa Specialist Dr. Begüm Ulaşan guides you through ceramic braces (clear/tooth-colored brackets). Learn the pros, cons, and differences from metal braces for a discreet and effective smile journey.

What Is a Dental Abscess and What Causes It?
east

A dental abscess is one of the most common oral and gum infections encountered in daily life. It can develop due to poor oral hygiene and, if left untreated, may lead to serious health problems. A dental abscess is an infection that occurs as a result of inflammation in the gums, tooth root, or surrounding tissues. If not treated in time, it may become chronic and develop into a cyst. By maintaining proper gum health and oral hygiene, gum abscesses and related tooth pain can be prevented.

Hollywood Smile in Turkey: Your Dream Smile Awaits in Bursa
east

Looking for a perfect smile that radiates confidence? Hollywood Smile treatments are no longer reserved for celebrities. Thanks to the growing popularity of dental tourism in Turkey, achieving a stunning, symmetrical smile has become more accessible than ever — especially in the beautiful and serene city of Bursa.

Why Patients
Choose Milim?

Milim Dental Hospital isn't just a clinic—it's where confident smiles begin. With a team of world-class specialists, advanced technology, and a patient-first approach, we turn dental care into a premium experience.
We prioritize hygiene, comfort, and tailor-made treatments designed just for you. Don’t just take our word for it—explore real stories from real patients.
Your perfect smile starts here. Join the Milim experience.

View All Experiences
play_arrow
Dr. Dt. İsmail Özkısaoğlu Dentist
Get a Free Consultation
play_arrow
Dr. Dt. Ali Direnç Ulaşan Oral, Dental, Maxillofacial Surgeon
Get a Free Consultation
play_arrow
Dr. Dt. Ali Direnç Ulaşan Oral, Dental, Maxillofacial Surgeon
Get a Free Consultation

Milim Dental Hospital provides comprehensive dental services in a spacious 1,000 m² facility, supported by a wide team of dental professionals including specialists in Oral and Maxillofacial Surgery, Prosthodontics, Orthodontics, Pediatric Dentistry, and Periodontology.

Our clinic is authorized by the Turkish Ministry of Health for International Health Tourism. This website is intended only for informing patients from abroad. It does not contain advertisements and complies with legal privacy regulations.
Milim Dental Hospital © 2025 - All rights reserved.
English
Big Sale – Last Days for 20% Off!