Shqip
Zbritje e Madhe – Ditet e Fundit për 20% Zbritje!
633ORA 11MINUTË 57SEKONDË
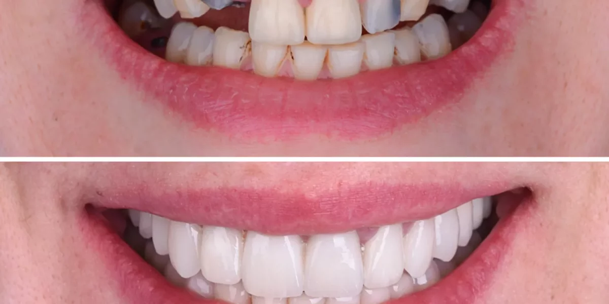
A Mund të Ndryshojë Vërtet Një Buzëqeshje Më e Mirë Jetën e Përditshme?

A Mund të Ndryshojë Vërtet Një Buzëqeshje Më e Mirë Jetën e Përditshme?

12 March Thu, 2026

Për shumë njerëz, po. Studimet mbi ndikimin psikososial të estetikës dentare sugjerojnë se pakënaqësia me dhëmbët mund të ndikojë në rehatinë gjatë buzëqeshjes, ndërveprimin social dhe vetëvlerësimin. Ndërsa një përmirësim i buzëqeshjes nuk është ilaç për çdo çështje të vetëbesimit, mund të përmirësojë ndjenjën e një personi në momente të dukshme, ditore—fotografi, biseda, takime, prezantime pune dhe të qeshura të rastësishme.

Kjo është arsyeja pse Hollywood Smile trajtimi shpesh ka një ndikim në stilin e jetesës përtej pamjes. Në MilimDental, qëllimi është të krijohet një buzëqeshje që njerëzit të përdorin më lirshëm, jo një që të bëhen të obsesionuar për ta mbrojtur ose fshehur. Kur trajtimi bëhet mirë, ndryshimi më i madh shpesh është sjellja: pacientët ndalojnë mbulimin e gojës, ndalojnë shmangien e fotografive dhe fillojnë të buzëqeshin më natyrshëm.

Kërkoni një Plan Trajtimi Falas nga Doktorët Tanë Ekspertë


A Milim
Bën një Dallim të Madh

Spitali Dentar Milim është i pari qendër dentare që merr "Certifikatën e Autorizimit të Turizmit Shëndetësor" të lëshuar nga Ministria e Shëndetësisë së Republikës së Turqisë.
Të gjitha Artikujt
“Fëmija Ime Ka Frikë Nga Dentisti” – Si Të Zgjidhni Një Klinikë Dentare Më Të Vërtetë Të Miqësore Me Fëmijët Në Bursa
east

Fëmija im ka frikë nga dentisti." Mësoni se si të zgjidhni një klinikë dentare me të vërtetë miqësore me fëmijët në Bursa. Zbuloni rëndësinë e stomatologjisë pediatrike (Pedodontika), menaxhimin e dhimbjes dhe qasje që reduktojnë ankthin për një përvojë pozitive dentare

Shërimi & Rikuperimi Pas All-on-4
east

Rikuperimi pas ndërhyrjes me implante All-on-4 është zakonisht i rrjedhshëm dhe i menaxhueshëm. Dieta e butë, higjena e duhur dhe pushimi janë thelbësor në ditët e para. Me kujdes të vazhdueshëm dhe kontrolle të rregullta, buzëqeshja juaj e re do të bëhet pjesë e përhershme dhe natyrale e jetës suaj.

Nuk Duhet Të Varet Më nga Fixodent/Corega: Më Shumë se Lidhësit për Denturë - Zgjidhja e Implaneve Zygomatike
east

Për vite me radhë mund të keni qenë të detyruar të mbështeteni në lidhësit për denturë si Fixodent ose Corega, duke ndjerë pasiguri gjatë të folurit, ngrënies apo kur dentura juaj lëvizte. Ndoshta dikush ju ka thënë “Implantet nuk janë të mundshme,” ose “Humbja e kockës suaj është shumë e madhe.” Sot, falë implanteve zygomatike, pacientët e përzgjedhur me humbje të avancuar të kockës në nofullën e sipërme mund të arrijnë një zgjidhje të qëndrueshme, pa lidhës dhe të qëndrueshme.

Pse pacientët
Zgjedhin Milim?

Spitali Dentar Milim nuk është vetëm një qendër, është vendi ku buzëqeshja e besueshme fillon. Me një ekip specialistësh të nivelit botëror, teknologji të avancuar dhe një qasje prioritare për pacientin, ne e kthejmë kujdesin dental në një përvojë të klasit të lartë.
Ne prioritet keni higjienën, rehatisë dhe trajtimet e personalizuara të krijuara vetëm për ju. Mos u mbështet vetëm në fjalët tona, eksploroni histori të vërteta nga pacientë të vërtetë.
Buzëqeshja juaj e përsosur fillon këtu. Bashkohuni me përvojën Milim.

Shiko të gjitha përvojat
play_arrow
Dr. Dt. İsmail Özkısaoğlu Dentist
Merrni Konsultimë Falas
play_arrow
Dr. Dt. Ali Direnç Ulaşan Kirurg Oral, Dental dhe Maksilofacial
Merrni Konsultimë Falas
play_arrow
Dr. Dt. Ali Direnç Ulaşan Kirurg Oral, Dental dhe Maksilofacial
Merrni Konsultimë Falas

Spitali Dental Milim ofron shërbime të plota dentare në një ambient të hapur prej 1,000 m², i mbështetur nga një ekip i gjerë profesionistësh dentarë përfshirë specialistë në Operacionin Oral dhe Maxillofacial, Prostodonti, Ortodonti, Stomatologji Pediatrike dhe Periodonti.

Klinička jonë është autorizuar nga Ministria turke e Shëndetësisë për Turizmin Ndërkombëtar Shëndetësor. Ky uebfaqe është vetëm për informimin e pacientëve nga jashtë. Nuk përmban reklama dhe përputhet me rregulloret ligjore të privatësisë.
Milim Dental Hospital © 2025 - Të gjitha të drejtat janë të rezervuara.
Shqip
Zbritje e Madhe – Ditet e Fundit për 20% Zbritje!